
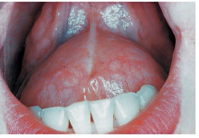
. This is an unusually large specimen but appears even larger because the patient is raising and protruding her tongue. This cyst, unlike a ranula, can be seen to have a thick wall because it has arisen in the deeper tissues of the fl oor of the mouth.