MEDizzy
MEDizzy
Zunaira saleh
Zunaira saleh9 months ago
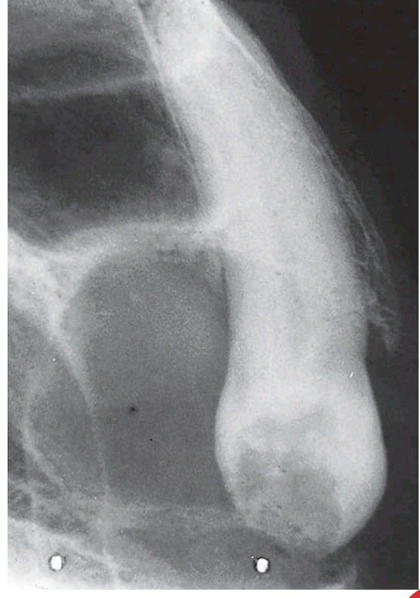
Resorption of tooth associated with a dentigerous cyst.

Resorption of tooth associated with a dentigerous cyst.

The crown of this buried canine within the cyst shows resorption. This is unusual and is seen only in long-neglected cysts, as in this otherwise edentulous patien

0
Other commentsSign in to post comments. You don't have an account? Sign up now!

Recent MCQs















Show more MCQs

Recent flashcard sets















Show more flashcards