MEDizzy
MEDizzy
Farid_khateri
Farid_khaterialmost 7 years ago
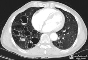
What's your diagnosis?

What's your diagnosis?

1.bronchectasis 2.emphysema 3.pneumothorax 4.pleural effusion

31
Other commentsSign in to post comments. You don't have an account? Sign up now!
almost 7 years ago

Emphysema.

almost 7 years ago

No.it has signet ring.it's bronchectasis

almost 7 years ago

2

almost 7 years ago

No.look to signet ring

almost 7 years ago

Emphysema which is chronic obstructive lung disease characterize by alveolar damag

almost 7 years ago

No.look at signet rings.it's bronchectasis

almost 7 years ago

Emphysema

almost 7 years ago

Bronchectasis

almost 7 years ago

Emphysema

almost 7 years ago

It's bronchectasis

almost 7 years ago

Over inflation of the alveoli - emphysema

almost 7 years ago

Look at signet rings...!

almost 7 years ago

1 bronchectasis

almost 7 years ago

Enfisema

almost 7 years ago

No

almost 7 years ago

1

almost 7 years ago

It looks more like bronchiectasis.

almost 7 years ago

True

12

Recent MCQs















Show more MCQs

Recent flashcard sets















Show more flashcards