MEDizzy
MEDizzy
Zunaira saleh
Zunaira salehabout 1 year ago
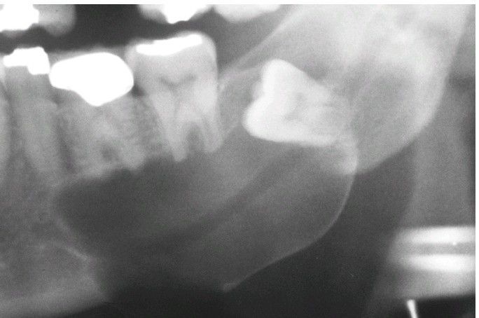
Dentigerous Cyst.

Dentigerous Cyst.

 Lateral variety showing a large cyst along the mesial root of the unerupted molar. This cyst exhibited mucous cell prosoplasia. 

0
Other commentsSign in to post comments. You don't have an account? Sign up now!

Recent MCQs















Show more MCQs

Recent flashcard sets















Show more flashcards