Feed
Library
Learning
Discuss
Leaderboard
Journal
Sign in
Login
Sign up
Sign in
Feed
Library
Learning
Discuss
Leaderboard
Journal
Zunaira saleh
over 1 year ago
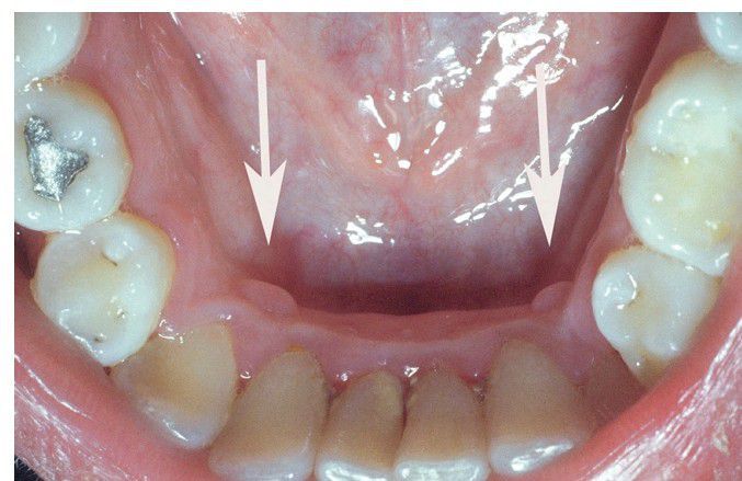
Retrocuspid Papilla
. Bilateral papular lesions on the gingiva lingual to the mandibular canines.
Canine
Papilla
Retrocuspid
0
0
0
Other comments
Sign in
to post comments. You don't have an account?
Sign up now!
Related posts
Transposition of Canine With 1st premolar
Impacted canine
Cyst of incisive papilla
Cellulitis Involving Canine Space
Surgical Ciliated Cyst.
Canine space infection
Maxillary canine root
impacted maxillary canine
Identify the Canine Angle Class
Root canal treatment of canine
Recent MCQs
Show more MCQs
Recent flashcard sets
Show more flashcards
Feed
Learn
Add
Search
Discuss