MEDizzy
MEDizzy
Zunaira saleh
Zunaira salehalmost 2 years ago
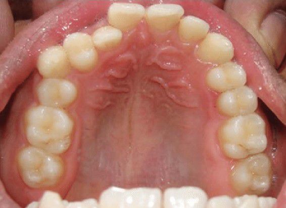
Transposition of Canine With 1st premolar

Transposition of Canine With 1st premolar

Transposition is defined as an interchange in the position of two permanent adjacent teeth located at the same quadrant in the dental arch

0
Other commentsSign in to post comments. You don't have an account? Sign up now!

Recent MCQs















Show more MCQs

Recent flashcard sets















Show more flashcards