MEDizzy
MEDizzy
Zunaira saleh
Zunaira salehalmost 2 years ago
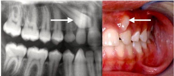
Impacted canine

Impacted canine

Impacted canine tooth surgery is a dental procedure in which a canine tooth that is unable to properly erupt through the gum tissue and jawbone is surgically maneuvered into its functional position

0
Other commentsSign in to post comments. You don't have an account? Sign up now!

Recent MCQs















Show more MCQs

Recent flashcard sets















Show more flashcards