Feed
Library
Learning
Discuss
Leaderboard
Journal
Sign in
Login
Sign up
Sign in
Feed
Library
Learning
Discuss
Leaderboard
Journal
W
Weeam
almost 2 years ago
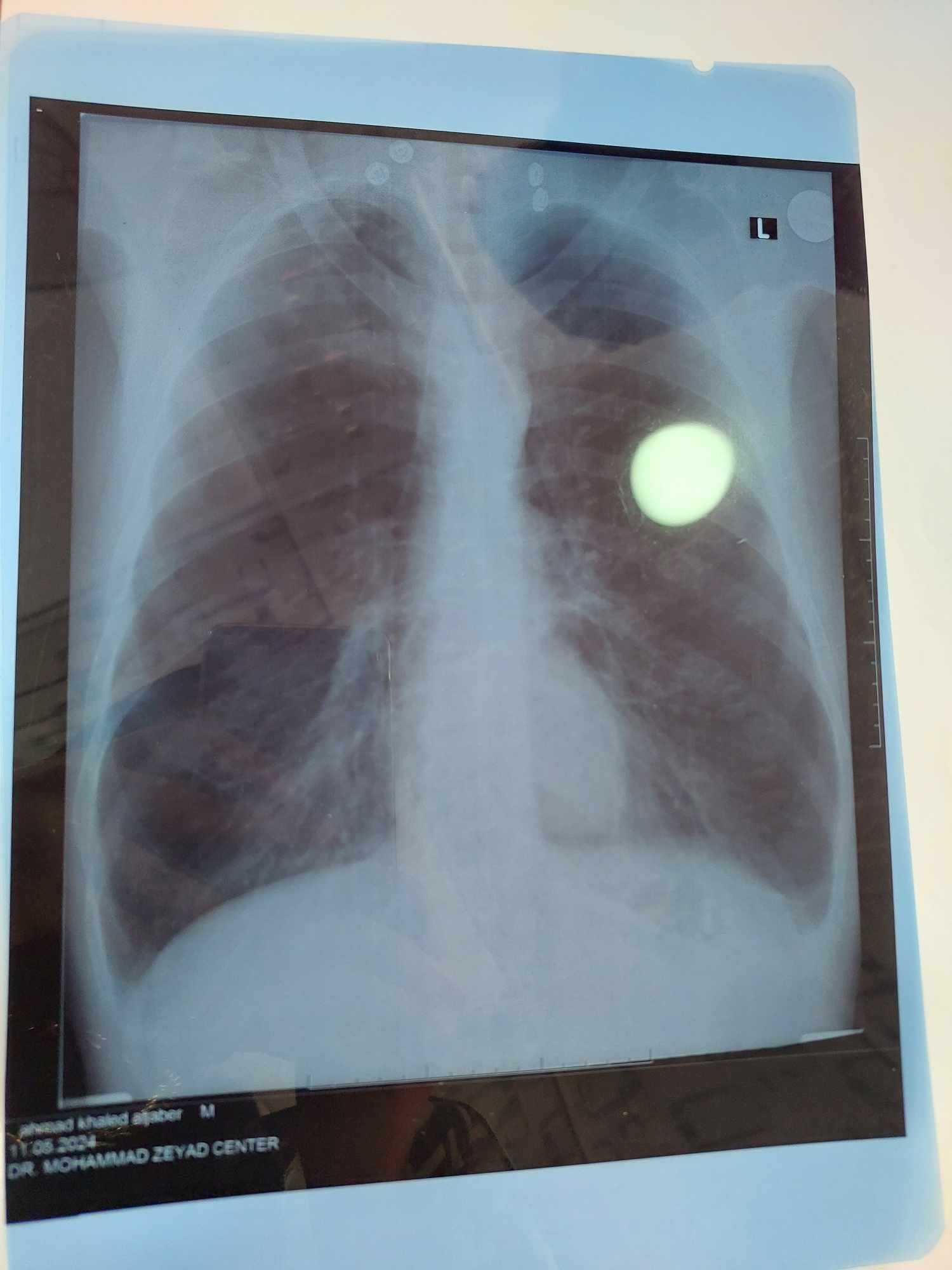
Diagnoses
What is the primary diagnosis??
Diagnosis
Question
Pulmonary
0
0
0
Other comments
Sign in
to post comments. You don't have an account?
Sign up now!
Related posts
Immunostaining diagnosis
Immunostaining diagnosis
Lactose Intolerance Diagnosis
VRF Diagnosis
Pulmonary Embolism
Supraventricular tachycardia- Diagnosis
Atrial Septal Defect- Diagnosis
How to remember the names of different generations of cephalosporins and their actions against microbes?
Acute Abdomen Differential Diagnosis
https://www.facebook.com/StableGripSafetyBarOfficial/
Recent MCQs
Show more MCQs
Recent flashcard sets
Show more flashcards
Feed
Learn
Add
Search
Discuss