MEDizzy
MEDizzy
Zunaira saleh
Zunaira salehover 1 year ago
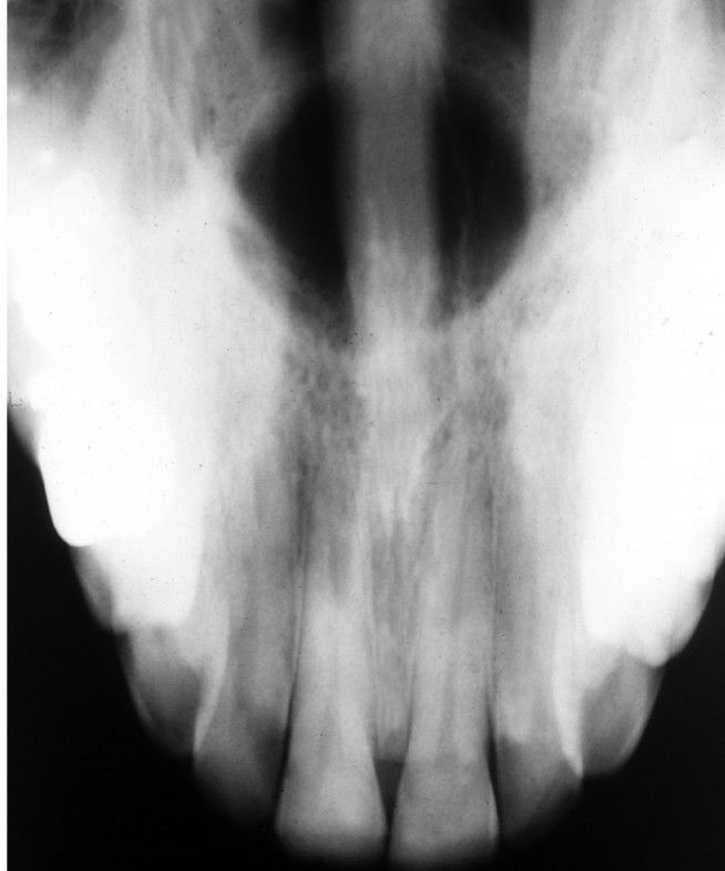
Median palatal cyst

Median palatal cyst

Occlusal radiograph of same patient depicted. A well-circumscribed midline radiolucent defect can be seen, which is separate

0
Other commentsSign in to post comments. You don't have an account? Sign up now!

Recent MCQs















Show more MCQs

Recent flashcard sets















Show more flashcards