MEDizzy
MEDizzy
Zunaira saleh
Zunaira salehover 1 year ago
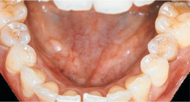
Dens evaginatus of mandibular 2nd premolars

Dens evaginatus of mandibular 2nd premolars

Dens evaginatus is a relatively common developmental condition affecting predominantly premolar teeth (Leung’s premolars)

0
Other commentsSign in to post comments. You don't have an account? Sign up now!

Recent MCQs















Show more MCQs

Recent flashcard sets















Show more flashcards