MEDizzy
MEDizzy
Zunaira saleh
Zunaira salehover 1 year ago
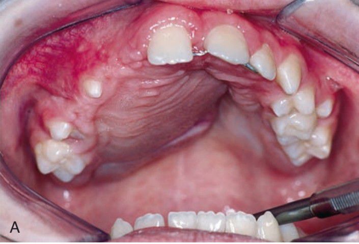
Central giant cell granuloma

Central giant cell granuloma

CGCG occurs almost exclusively in the maxilla and mandible, although isolated cases in facial bones and small bones of the hands and feet have been reported. Lesions are seen more commonly in the mandible than in the maxilla

0
Other commentsSign in to post comments. You don't have an account? Sign up now!

Recent MCQs















Show more MCQs

Recent flashcard sets















Show more flashcards