MEDizzy
MEDizzy
Zunaira saleh
Zunaira salehover 1 year ago
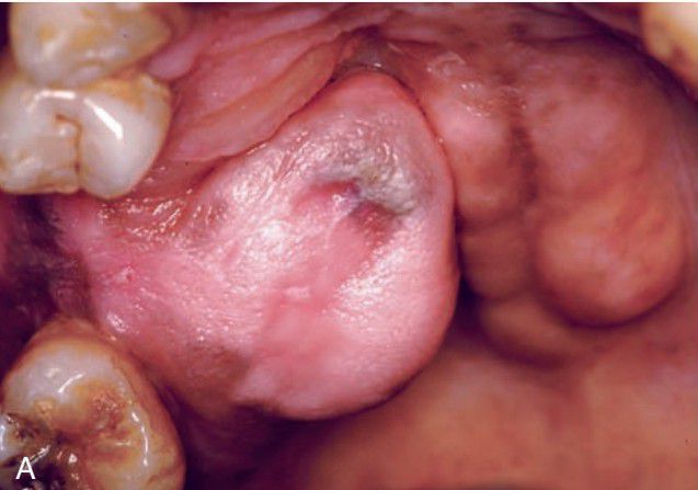
Ossifying fibroma

Ossifying fibroma

Ossifying fibroma of the maxilla showing marked cortical expansion. Note incidental finding of torus palatinus.

0
Other commentsSign in to post comments. You don't have an account? Sign up now!

Recent MCQs















Show more MCQs

Recent flashcard sets















Show more flashcards