Feed
Library
Learning
Discuss
Leaderboard
Journal
Sign in
Login
Sign up
Sign in
Feed
Library
Learning
Discuss
Leaderboard
Journal
Zunaira saleh
over 1 year ago
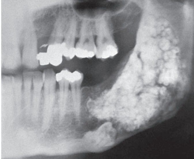
Odontoma
Complex odontoma occupying most of the mandibular ramus.
Medizzy
Oralpathology
Odontoma
0
0
0
Other comments
Sign in
to post comments. You don't have an account?
Sign up now!
Related posts
Herpetiform aphthous ulcer
Denture stomatitis
Speckled leukoplakia
Potentially malignant lesions
Stomatitis nicotina
Frictional keratosis
Cyclosporine induced gingival enlargement
Granulomatous cheilitis
Granulomatous cheilitis
Types of lichen planus
Recent MCQs
Show more MCQs
Recent flashcard sets
Show more flashcards
Feed
Learn
Add
Search
Discuss