
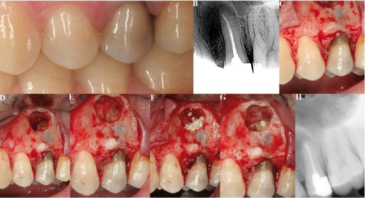
Non-surgical treatment is impractical It is unlikely to improve the previous results First choice for managing teeth with: Long posts or irretrievable separated instruments. Nonnegotiable ledges and canal blockages or transportation. Hard cement filling materials Failure of previous nonsurgical retreatment Suspected vertical root fracture When a biopsy is indicated If a tooth can be treated non-surgically but the risks and costs of retreatment are considered excessive