MEDizzy
MEDizzy
Zunaira saleh
Zunaira salehalmost 2 years ago
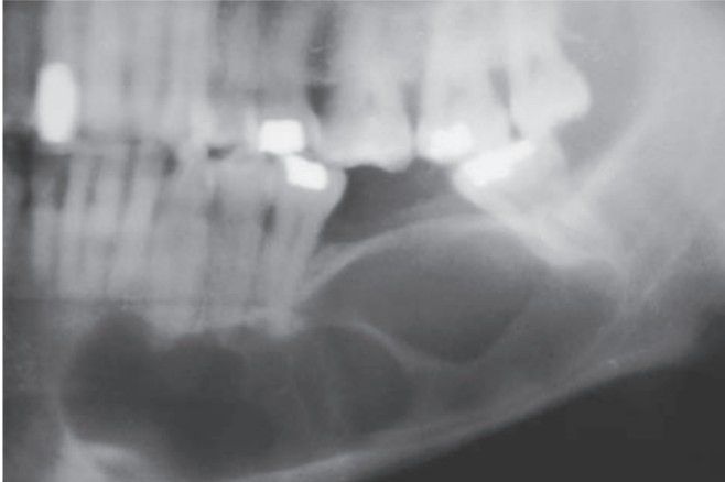
Residual cyst

Residual cyst

When the necrotic tooth is extracted but the cyst lining is incompletely removed, a residual cyst may develop months to years after the initial extirpation.

0
Other commentsSign in to post comments. You don't have an account? Sign up now!

Recent MCQs















Show more MCQs

Recent flashcard sets















Show more flashcards