
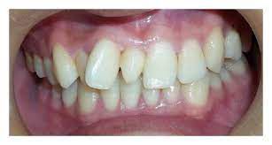
Not everyone needs hyperdontia treatment. But if your extra teeth interfere with your oral health or chewing function, your dentist may recommend removing them. For example, you might need a tooth extraction if you: Have difficulty chewing properly. Feel pain or discomfort. Have difficulty brushing or flossing properly. Have embarrassment about the way your extra teeth look. If you have mild, occasional discomfort due to hyperdontia, it might help to take an NSAID (nonsteroidal anti-inflammatory drug) like ibuprofen (Advil®) or naproxen sodium (Aleve®).