MEDizzy
MEDizzy
Farid_khateri
Farid_khateriabout 7 years ago
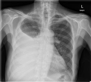
What's your diagnosis??!!

What's your diagnosis??!!

1.pleural effusion 2.pneumothorax 3.emphysema 4.pulmonary edema 5.sarcoidosis

33
Top rated comment
about 7 years ago

It a a pleural effusion but it is a large effusion and in this case it may cause mediastinal shift away from the affected side....

Other commentsSign in to post comments. You don't have an account? Sign up now!
about 7 years ago

Pleural effusion

about 7 years ago

Pleural effusion....

about 7 years ago

Pleural effusion

about 7 years ago

1

about 7 years ago

Right pleural effusion

about 7 years ago

Right pleural effusion

about 7 years ago

1

about 7 years ago

Yeaah it's a pleural effusion, i also suffering. Plzz tell me more about that .doctor told me that the scars coming permanently in the X-ray

about 7 years ago

Right pleural effusion

Recent MCQs















Show more MCQs

Recent flashcard sets















Show more flashcards