MEDizzy
MEDizzy
Zunaira saleh
Zunaira salehalmost 2 years ago
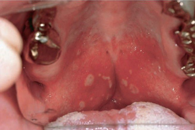
Herpangina

Herpangina

Those infected generally complain of malaise, fever, dysphagia, and sore throat after a short incubation period. Intraorally, a vesicular eruption appears on the soft palate, faucial pillars, and tonsils and persists for 4 to 6 days.

1
Other commentsSign in to post comments. You don't have an account? Sign up now!

Recent MCQs















Show more MCQs

Recent flashcard sets















Show more flashcards