MEDizzy
MEDizzy
Zunaira saleh
Zunaira salehalmost 2 years ago
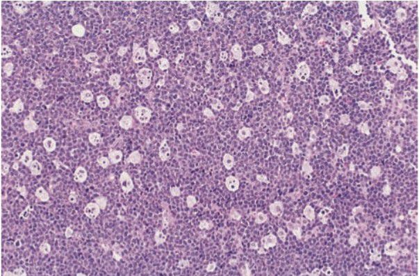
Starry sky microscopy of Burkitt's lymphoma

Starry sky microscopy of Burkitt's lymphoma

Malignancy of B lymphocytes linked to specific chromosome translocation. Frequent Epstein-Barr virus infection; pain, tooth mobility or paresthesia may be presenting symptom.

0
Other commentsSign in to post comments. You don't have an account? Sign up now!

Recent MCQs















Show more MCQs

Recent flashcard sets















Show more flashcards