MEDizzy
MEDizzy
Zunaira saleh
Zunaira salehalmost 2 years ago
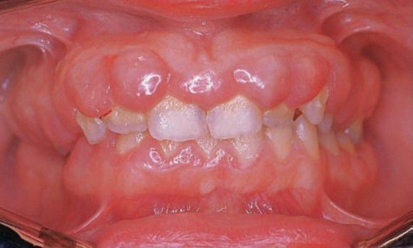
Generalized gingival hyperplasia

Generalized gingival hyperplasia

Firm, increased bulk of free and attached gingiva; usually asymptomatic; pseudopockets are mostly found.

0
Other commentsSign in to post comments. You don't have an account? Sign up now!

Recent MCQs















Show more MCQs

Recent flashcard sets















Show more flashcards