MEDizzy
MEDizzy
Zunaira saleh
Zunaira salehalmost 2 years ago
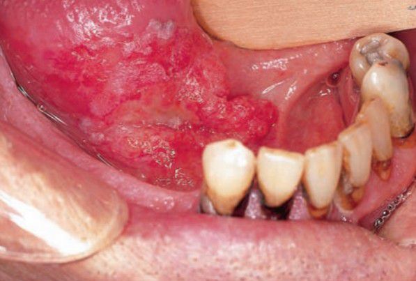
Squamous cell carcinoma of oral cavity

Squamous cell carcinoma of oral cavity

Indurated, nonpainful ulcer with rolled margins; most commonly found on lateral tongue and floor of mouth; males affected twice as often as females.

0
Other commentsSign in to post comments. You don't have an account? Sign up now!

Recent MCQs















Show more MCQs

Recent flashcard sets















Show more flashcards