MEDizzy
MEDizzy
Zunaira saleh
Zunaira salehalmost 2 years ago
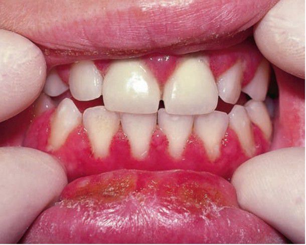
Herpes simplex virus infection.

Herpes simplex virus infection.

Herpes simplex virus infection causes recurring episodes of small, painful, fluid-filled blisters on the skin, mouth, lips (cold sores), eyes, or genitals.

0
Other commentsSign in to post comments. You don't have an account? Sign up now!

Recent MCQs















Show more MCQs

Recent flashcard sets















Show more flashcards