MEDizzy
MEDizzy
Zunaira saleh
Zunaira saleh8 months ago
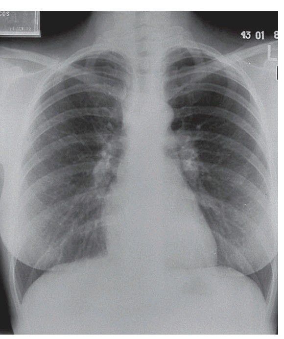
Sarcoidosis

Sarcoidosis

. Prominent hilar lymphadenopathy is the main radiological fi nding, though granuloma formation may be widespread.

0
Other commentsSign in to post comments. You don't have an account? Sign up now!

Recent MCQs















Show more MCQs

Recent flashcard sets















Show more flashcards