
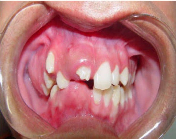
Regional odontodysplasia is a rare development anomaly affecting the teeth with an unknown etiology. This dental abnormality involves the hard tissues of the teeth that are derived from both epithelial (enamel) and mesenchymal (dentine & cementum) components of the tooth forming apparatus.