MEDizzy
MEDizzy
Zunaira saleh
Zunaira salehalmost 2 years ago
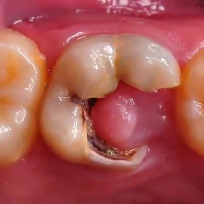
Pulp Polyp

Pulp Polyp

Otherwise known Chronic Hyperplastic Pulpitis. The pulp polyp is the result of both mechanical irritation and bacterial invasion into the pulp of a tooth that exhibits significant crown destruction due to trauma or caries

0
Other commentsSign in to post comments. You don't have an account? Sign up now!

Recent MCQs















Show more MCQs

Recent flashcard sets















Show more flashcards