MEDizzy
MEDizzy
Zunaira saleh
Zunaira saleh10 months ago
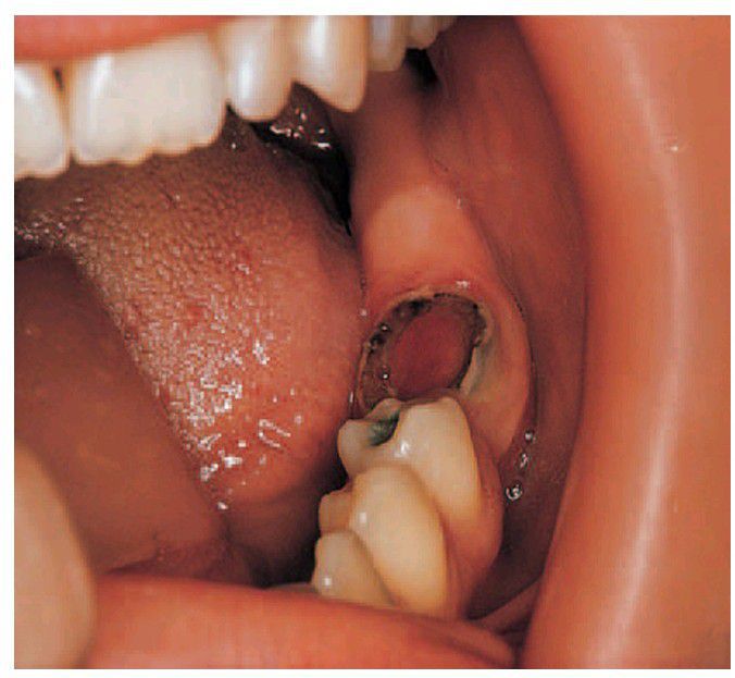
Pulp polyp.

Pulp polyp.

An infl amed nodule of granulation tissue can be seen growing from the pulp chamber of this broken down fi rst permanent molar.

0
Other commentsSign in to post comments. You don't have an account? Sign up now!

Recent MCQs















Show more MCQs

Recent flashcard sets















Show more flashcards