
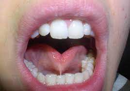
When considering treatment options for ankyloglossia and breastfeeding difficulty, it is important to remember that there is no one-size-fits-all solution. Factors such as patient age, types of symptoms experienced, other medical conditions, and surgical risks all affect the decision process between you and your doctor. Successful nonsurgical options focus on symptom management, such as working with a breastfeeding specialist on adaptive positioning and assistive devices in infants, or working with a speech therapist for articulation improvement in children. If nonsurgical interventions do not resolve the problem or ankyloglossia is moderate to severe, a lingual frenotomy may be recommended. The procedure involves cutting the restricted frenulum with scissors, laser, or cautery device depending on the preference of the treating physician. The frenulum is divided until mobility is improved. In young infants, the procedure is often done in the doctor’s office, while older children may require anesthesia. More severe cases may require a frenuloplasty. While many infants benefit from frenotomy, not all infants with ankyloglossia experience symptoms or require any intervention. Also, frenotomy does not resolve or improve symptoms in all patients. A few rare risks of frenotomy may include bleeding, infection, scarring, salivary duct injury, and airway obstruction.