
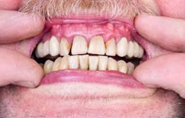
Gingivitis is the earliest stage of gum disease (periodontal disease). It develops when plaque, tartar and bacteria build up on your teeth, causing red, swollen, bleeding gums. You can successfully manage gingivitis, especially with the help of a dentist. But left untreated, gingivitis can lead to periodontitis (a more severe type of gum disease involving bone loss in your jaw).