MEDizzy
MEDizzy
Sheeza Basharat
Sheeza Basharatalmost 2 years ago
Diagnose It

Diagnose It

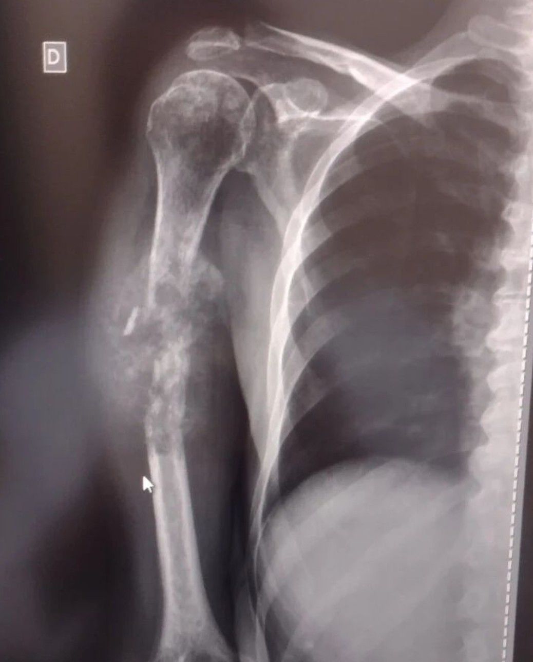
Diagnose the case with the given clinical presentation.

2
Other commentsSign in to post comments. You don't have an account? Sign up now!
almost 2 years ago

Comminuted bone fracture.

almost 2 years ago

Ewings sarcoma

almost 2 years ago

Osteosarcome

Recent MCQs















Show more MCQs

Recent flashcard sets















Show more flashcards