MEDizzy
MEDizzy
Farid_khateri
Farid_khateriabout 7 years ago
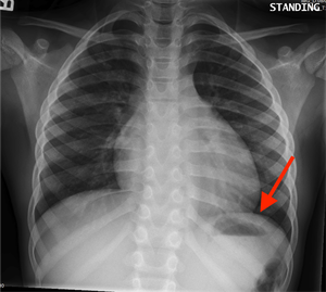
What's the part marked on the CXR?

What's the part marked on the CXR?

16
Top rated comment
about 7 years ago

And maybe cardiomegali?

about 7 years ago

No air in the stomach

Other commentsSign in to post comments. You don't have an account? Sign up now!
about 7 years ago

Diaphragm, distal by it is the stomach and the dark area in the stomach is air.

about 7 years ago

Exactly.

about 7 years ago

Diaphragm. Below that is air filled fundus of stomach

about 7 years ago

Fundic gas

about 7 years ago

Traube's space where the fundus of the stomach is found.

almost 7 years ago

Thanks

about 7 years ago

Perfect

about 7 years ago

cardiophrenic angle

about 7 years ago

No.air in the stomach

about 7 years ago

Fundus of the stomach

about 7 years ago

Good.air in the fundus

about 7 years ago

Cardiomegali

about 7 years ago

No.the black part that marked

about 7 years ago

Fundus

about 7 years ago

Air in the fundus

about 7 years ago

Hypertrophy ???

12

Recent MCQs















Show more MCQs

Recent flashcard sets















Show more flashcards