MEDizzy
MEDizzy
Sadia
Sadiaabout 2 years ago
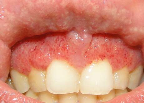
Treatment for Pyostomatitis vegetans

Treatment for Pyostomatitis vegetans

Management of pyostomatitis vegetans consists mainly of immunosuppression using topical or systemic corticosteroids with medical and/or surgical treatment of any underlying inflammatory bowel disease.

0
Other commentsSign in to post comments. You don't have an account? Sign up now!

Recent MCQs















Show more MCQs

Recent flashcard sets















Show more flashcards