
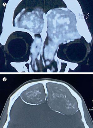
Frontal nasal lesion A 27-year-old man had a 4-month history of bilateral frontal headache, irritability, frontal lobe signs, bilateral proptosis, and nasal obstruction. Craniotomy revealed intracranial extension of a grey-coloured, foul smelling, soft tissue mass extending from the nasal sinuses. 1) Allergic rhinocerebral aspergillosis 2) Angiofibroma 3) Nasopharyngeal carcinoma with skull base extension 4) Fibrous dysplasia
What is the answer?i feel option C might be the correct.