MEDizzy
MEDizzy
Zunaira saleh
Zunaira salehabout 1 year ago
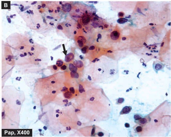
High grade Squamous intraepithelial lesions (SIL).

High grade Squamous intraepithelial lesions (SIL).

H-SIL. The squamous cells have scanty cytoplasm and markedly hyperchromatic nuclei having irregular nuclear outlines. The background shows numerous PMNs.

0
Other commentsSign in to post comments. You don't have an account? Sign up now!

Recent MCQs















Show more MCQs

Recent flashcard sets















Show more flashcards