Feed
Library
Learning
Discuss
Leaderboard
Journal
Sign in
Login
Sign up
Sign in
Feed
Library
Learning
Discuss
Leaderboard
Journal
Zunaira saleh
about 1 year ago
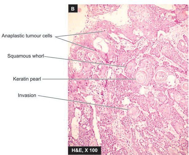
Squamous cell carcinoma of oesophagus
Photomicrograph shows whorls of anaplastic squamous cells invading the underlying soft tissues.
Histology
Carcinoma
Cell
Squamous
Oesophagus
0
0
0
Other comments
Sign in
to post comments. You don't have an account?
Sign up now!
Related posts
Gingival fibromatosis
Dentigerous cyst.
Dentigerous cyst.
Clear cell odontogenic carcinoma
Metastatic carcinoma of the mandible.
Metastatic carcinoma in the mandible
Verrucous carcinoma
Peripheral giant cell granuloma
Peripheral giant cell granuloma
Potentially malignant lesions
Recent MCQs
Show more MCQs
Recent flashcard sets
Show more flashcards
Feed
Learn
Add
Search
Discuss