
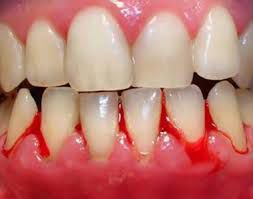
Bleeding gums treatment depends on the underlying cause. If bleeding gums are a result of gum disease, a dentist or periodontist (gum specialist) will recommend the appropriate treatment. Common gum disease treatments include: Improved oral hygiene at home. Antibiotics. Tooth scaling and root planing (deep dental cleaning). Osseous surgery (to reduce the size of the pockets around your teeth). Laser periodontal surgery. If you have bleeding gums but you don’t have gum disease, your healthcare provider will need to find out why your gums are bleeding. They may recommend testing to determine if you have diabetes, blood-clotting disorders, vitamin deficiencies or other underlying health conditions. Once you receive a diagnosis, your provider will recommend appropriate treatment.