
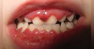
Gingivostomatitis is a painful oral infection that can cause blisters on the lips and canker sores in the mouth. The condition is caused by a virus or bacteria. It’s often due to poor hygiene, such as not brushing and flossing enough. Gingivostomatitis is also called acute herpetic gingivostomatitis, herpetic gingivostomatitis and primary gingivostomatitis.