Feed
Library
Learning
Discuss
Leaderboard
Journal
Sign in
Login
Sign up
Sign in
Feed
Library
Learning
Discuss
Leaderboard
Journal
Nick Van den Wyngaert
almost 3 years ago
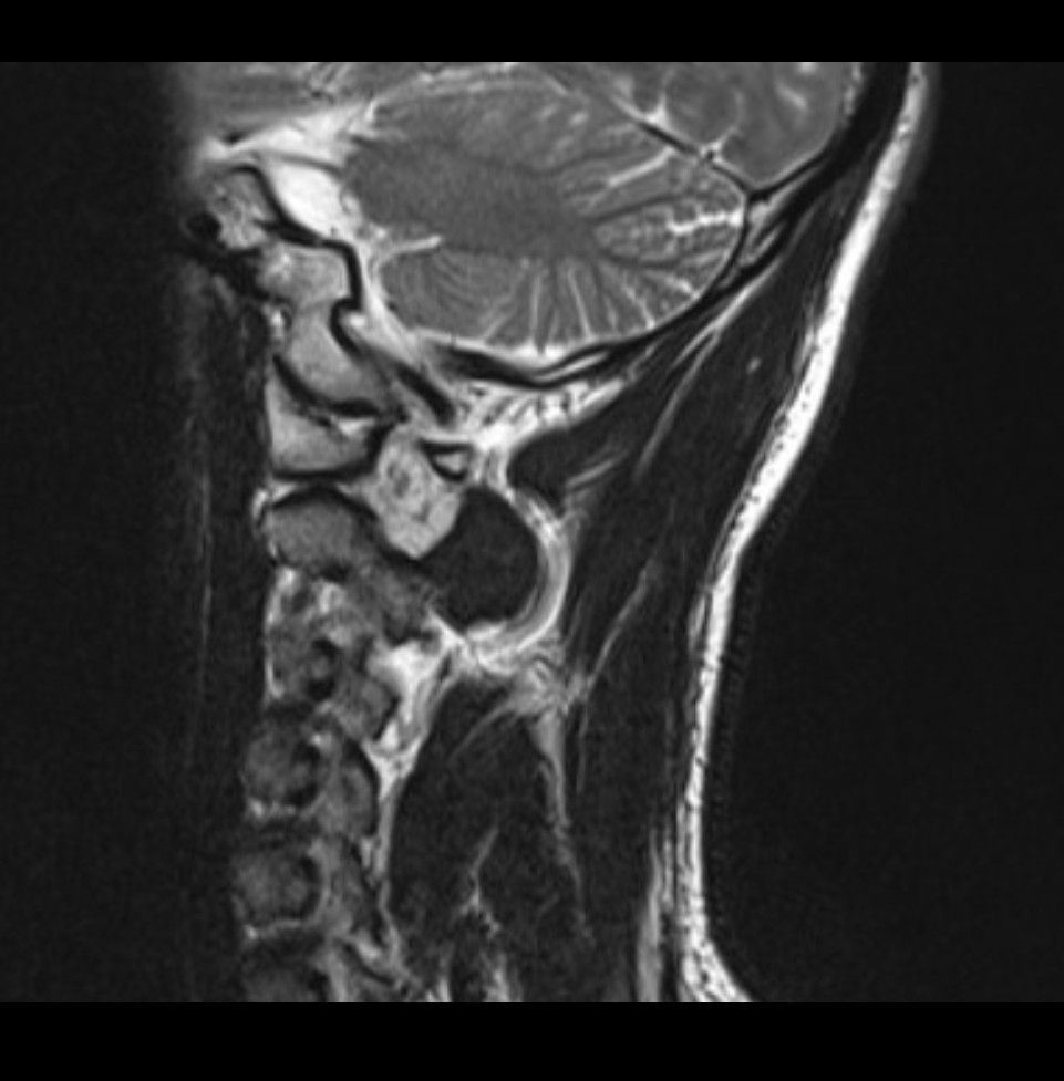
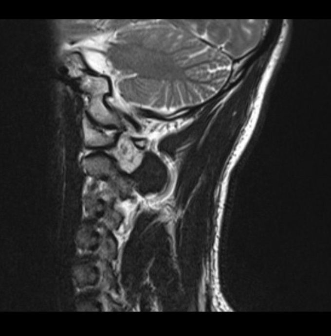
Unknown cervical mass
Does anyone know what this image shows? 41yo male patient with years of neckpain.
Radiology
Mri
Neck
Mass
84
0
0
Other comments
Sign in
to post comments. You don't have an account?
Sign up now!
Related posts
How to Read MRI IX
How to Read MRI X
Basic Brainstem Radiology
Spine Radiology I
Spine Radiology II
Head and neck anatomy
Neck anatomy
Left oblique view of facial region and neck.
Head and neck in lateral oblique view.
Neck Muscles
Recent MCQs
Show more MCQs
Recent flashcard sets
Show more flashcards
Feed
Learn
Add
Search
Discuss