
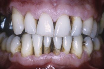
Periodontitis is a severe gum infection that can lead to tooth loss and other serious health complications. Periodontitis also called gum disease, is a serious gum infection that damages the soft tissue and, without treatment, can destroy the bone that supports your teeth.