MEDizzy
MEDizzy
syeda irha hasan
syeda irha hasanalmost 3 years ago
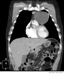
Thymic cyst

Thymic cyst

A thymic cyst is a benign mediastinal disease which has been reported to be the second most common type of primary mediastinal cyst. Thymic cysts are rare, and the majority are believed to be congenital in origin.

0
Other commentsSign in to post comments. You don't have an account? Sign up now!

Recent MCQs















Show more MCQs

Recent flashcard sets















Show more flashcards