MEDizzy
MEDizzy
Sheeza Basharat
Sheeza Basharatalmost 3 years ago
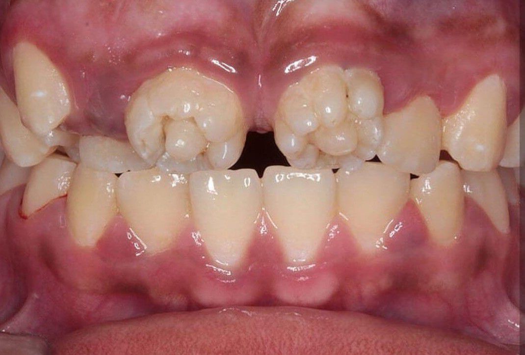
Mulberry Molars

Mulberry Molars

Mulberry molars are a dental condition typically linked with congenital syphilis, characterized by multiple rounded rudimentary enamel cusps on the permanent first molars. Mulberry molars are actually defective permanent molars.

0
Other commentsSign in to post comments. You don't have an account? Sign up now!

Recent MCQs















Show more MCQs

Recent flashcard sets















Show more flashcards