
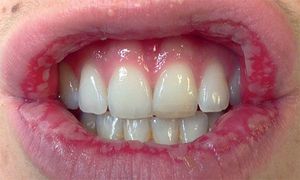
A 41-year-old woman presented for the sudden appearance of swollen lips with crusted erosions. What is the most likely diagnosis? A) Primary herpetic gingivostomatitis B) Erythema multiforme major C) Recurrent aphtous stomatitis D) Pemphigus vulgaris