MEDizzy
MEDizzy
Zunaira saleh
Zunaira salehalmost 2 years ago
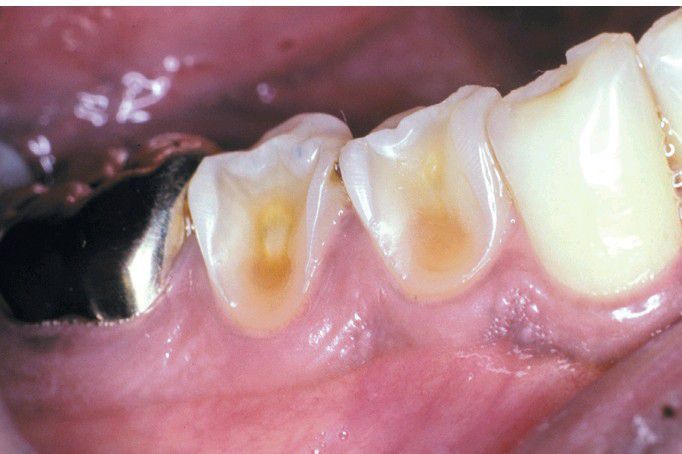
Erosion

Erosion

Extensive loss of enamel and dentin on the buccal surface of the maxillary bicuspids. The patient had sucked chronically on tamarinds (an acidic fruit)

0
Other commentsSign in to post comments. You don't have an account? Sign up now!

Recent MCQs















Show more MCQs

Recent flashcard sets















Show more flashcards