
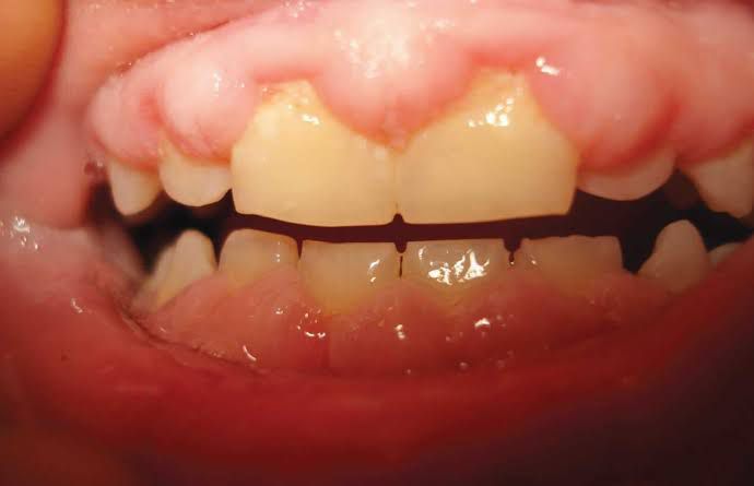
Gingival hyperplasia is an oral condition that causes your gums to overgrow. In more severe cases, your gums can completely cover your teeth, making it difficult to maintain effective oral hygiene habits. Improved oral hygiene can often resolve this condition and improve symptoms.