Feed
Library
Learning
Discuss
Leaderboard
Journal
Sign in
Login
Sign up
Sign in
Feed
Library
Learning
Discuss
Leaderboard
Journal
Zunaira saleh
about 1 year ago
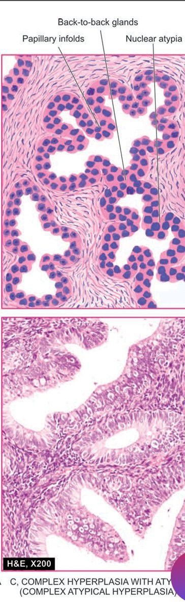
Endometrial hyperplasia
One of the Three forms of endometrial hyperplasias.
Histology
Hyperplasia
Endometrial
0
0
0
Other comments
Sign in
to post comments. You don't have an account?
Sign up now!
Related posts
Early interproximal caries
Caries of dentine
A translucent zone
Gingival fibromatosis.
Drug induced gingival hyperplasia
Gingival fibromatosis
Dentigerous cyst.
Dentigerous cyst.
Focal epithelial hyperplasia
Inflammation hyperplasia
Recent MCQs
Show more MCQs
Recent flashcard sets
Show more flashcards
Feed
Learn
Add
Search
Discuss