
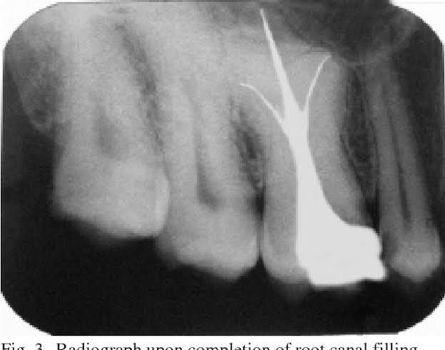
Taurodontism is a developmental disturbance of a tooth in which body is enlarged at the expense of the roots. An enlarged pulp chamber, apical displacement of the pulpal floor and lack of constriction at the cementoenamel junction are the characteristic features.