MEDizzy
MEDizzy
Hunain
Hunainabout 3 years ago
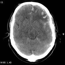
Symptoms of head contusion

Symptoms of head contusion

Symptoms Most patients with cerebral contusions have had a serious head injury with a loss of consciousness. Cerebral edema, or swelling, typically develops around contusions within 48 to 72 hours after injury.

0
Other commentsSign in to post comments. You don't have an account? Sign up now!

Recent MCQs















Show more MCQs

Recent flashcard sets















Show more flashcards