MEDizzy
MEDizzy
Iqra
Iqraabout 3 years ago
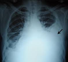
Massive hemothorax symptoms

Massive hemothorax symptoms

Symptoms include: Shortness of breath. Rapid, shallow breathing. Chest pain. Low blood pressure (shock) Pale, cool and clammy skin. Rapid heart rate. Restlessness. Anxiety.

0
Other commentsSign in to post comments. You don't have an account? Sign up now!

Recent MCQs















Show more MCQs

Recent flashcard sets















Show more flashcards