MEDizzy
MEDizzy
Iqra
Iqraabout 3 years ago
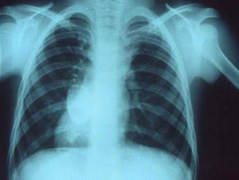
Symptoms of atelectasis

Symptoms of atelectasis

What are the signs and symptoms of atelectasis? Trouble breathing (shortness of breath) Increased heart rate. Coughing. Chest pain. Skin and lips turning blue.

0
Other commentsSign in to post comments. You don't have an account? Sign up now!

Recent MCQs















Show more MCQs

Recent flashcard sets















Show more flashcards