MEDizzy
MEDizzy
Sadia
Sadiaover 3 years ago
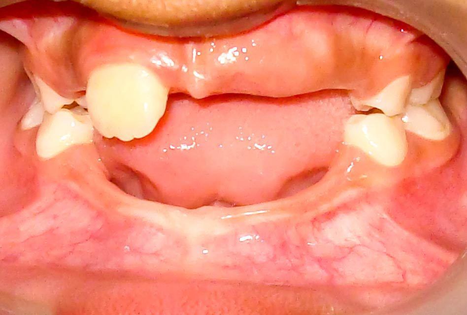
Oligodontia

Oligodontia

Oligodontia is a rare genetic disorder which represents the congenital absence of more than six teeth in primary, permanent or both dentitions. It is usually a part of a syndrome and seldom occurs as an isolated entity.

1
Other commentsSign in to post comments. You don't have an account? Sign up now!

Recent MCQs















Show more MCQs

Recent flashcard sets















Show more flashcards