MEDizzy
MEDizzy
Dr.rasoul
Dr.rasoulabout 7 years ago
🔻Radiology quiz🔻

🔻Radiology quiz🔻

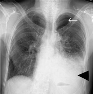
What's your dx? 1. Hydro-pneumothorax 2. Pericardial effusion 3. Lung necrosis 4. Emphysema

60
Top rated comment
about 7 years ago

Hydropneumothorax. Can you give us the right answer??

about 7 years ago

How Sir?

Other commentsSign in to post comments. You don't have an account? Sign up now!
about 7 years ago

2

about 7 years ago

1

about 7 years ago

Hydro-pneumothorax

about 7 years ago

1

about 7 years ago

Hydro-pneumothorax

about 7 years ago

1

about 7 years ago

1

about 7 years ago

2

about 7 years ago

1.Hydro-pneumothorax

about 7 years ago

Hydro-pneumothorax

1…5
123…5

Recent MCQs

‌
‌

‌
‌

‌
‌

‌
‌

‌
‌
Show more MCQs

Recent flashcard sets

‌
‌

‌
‌

‌
‌

‌
‌

‌
‌
Show more flashcards